
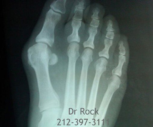
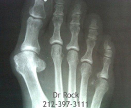
Get Beautiful, Pain-Free Feet
Take a look at our x-ray pictures of our recent footwork and see how your feet can benefit.
Whether you want to improve the look of your feet or need to relieve pain,
you can find out the best option for you with our FREE phone consultation.
Click Here
for more X-ray photos.













